Can Tonsillitis Be Mistaken For Throat Cancer : One Singer S Sore Throat Turned Out To Be Cancer Moffitt / Tonsillitis can be caused acute infection of the tonsils, and several types of bacteria or viruses (for example, strep throat or mononucleosis).
Dapatkan link
Facebook
X
Pinterest
Email
Aplikasi Lainnya
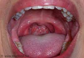
Can Tonsillitis Be Mistaken For Throat Cancer : One Singer S Sore Throat Turned Out To Be Cancer Moffitt / Tonsillitis can be caused acute infection of the tonsils, and several types of bacteria or viruses (for example, strep throat or mononucleosis).. Oral cancers can be trickier than others to recognize because the symptoms can be mistaken for other health conditions like a cold, a sore throat, or a toothache. Palatine tonsils on the sides of the throat. This rare form of oral cancer has symptoms that could easily be mistaken for a viral or bacterial throat infection. Human papillomavirus (hpv) is a common sexually transmitted infection that increases the risk of certain types of throat cancer. Symptoms of advanced tonsil cancer can include:
Tonsillitis can be caused acute infection of the tonsils, and several types of bacteria or viruses (for example, strep throat or mononucleosis). There are three types of tonsils: Coronavirus and tonsillitis can have similar symptoms, such as fever and sore throat, but cooper experts have put together a guide to help you differentiate the two. But the hpv virus inhabits the lining squamous mucosa of the throat, and the tonsils are part. The throat has three types of tonsils.
This Woman S Sore Throat Was Actually A Symptom Of A Rare Form Of Cancer from hips.hearstapps.com Some symptoms of throat cancer are specific to certain areas of the body. The reason for such a high prevalence rate is that people misinterpret the symptoms of throat cancer as those of tonsillitis. Swollen tonsils that are not equal in size (one is particularly larger than the other) mouth pain that does not go away. Tonsil cancer can cause difficulty swallowing and a sensation that something is caught in your throat. Throat cancer may spread locally to the lips, mouth or nearby lymph nodes. While tonsillitis is seen most. Hpv has been linked to cancer that affects the soft palate, tonsils, back of the tongue, and the side and back wall of the throat. Tonsillitis can be caused acute infection of the tonsils, and several types of bacteria or viruses (for example, strep throat or mononucleosis).
The throat has three types of tonsils.
While tonsillitis is seen most. Lymphoma, a cancer of the immune system, can also present with swollen tonsils: Throat cancer may spread locally to the lips, mouth or nearby lymph nodes. The reason for such a high prevalence rate is that people misinterpret the symptoms of throat cancer as those of tonsillitis. I went to the docs on monday with an enlarged right tonsil. A sore, irritated throat or swollen, inflamed tonsils may be mistaken for tonsillitis, strep throat, or other common viral ailments. The doc said it is very abnormal and has a small growth on it. Hpv has been linked to cancer that affects the soft palate, tonsils, back of the tongue, and the side and back wall of the throat. It's freezing outside and germs spread more easily. Parents of young children are all too familiar with the symptoms of this type of tonsillitis, also known as strep throat. For instance, voice changes may be a sign of laryngeal (voice box) cancer, but they would rarely indicate cancer of the pharynx. It also causes persistent pain and white spots in the mouth — and crucially, a. Some symptoms of throat cancer are specific to certain areas of the body.
But the hpv virus inhabits the lining squamous mucosa of the throat, and the tonsils are part. Throat cancer is typically categorized as either laryngeal or pharyngeal cancer. Lymphoma, a cancer of the immune system, can also present with swollen tonsils: Parents of young children are all too familiar with the symptoms of this type of tonsillitis, also known as strep throat. Men are diagnosed with tonsil cancer three to four times more often than women.
The Surprising Link Between Acid Reflux And Tonsillitis Westside Head Neck from www.westsidehn.com Lingual tonsils at the base of the tongue. The reason for such a high prevalence rate is that people misinterpret the symptoms of throat cancer as those of tonsillitis. While tonsillitis is seen most. Oral cancers can be trickier than others to recognize because the symptoms can be mistaken for other health conditions like a cold, a sore throat, or a toothache. Throat cancer is typically categorized as either laryngeal or pharyngeal cancer. Tonsil cancer is a form of oropharyngeal cancer that occurs when the cells that make up the tonsils grow out of control and form lesions or tumors. People are generally diagnosed at age 50 or older but it can develop at any age. The family of ayisha green were devastated to learn her symptoms were actual…
Lingual tonsils at the base of the tongue.
Throat cancer may spread locally to the lips, mouth or nearby lymph nodes. The family of ayisha green were devastated to learn her symptoms were actual… Coronavirus and tonsillitis can have similar symptoms, such as fever and sore throat, but cooper experts have put together a guide to help you. The throat has three types of tonsils. Tonsillitis is a contagious infection with symptoms of bad breath, snoring, congestion, headache, hoarseness, laryngitis, and coughing up blood. Men are diagnosed with tonsil cancer three to four times more often than women. This rare form of oral cancer has symptoms that could easily be mistaken for a viral or bacterial throat infection. There are two types of tonsillitis, acute and chronic. Some symptoms of throat cancer are specific to certain areas of the body. Tonsil cancer is a form of oropharyngeal cancer that occurs when the cells that make up the tonsils grow out of control and form lesions or tumors. For instance, voice changes may be a sign of laryngeal (voice box) cancer, but they would rarely indicate cancer of the pharynx. Persistent sore throat (longer than three weeks) Tonsil cancer the symptoms of tonsil cancer are similar to tonsillitis or strep throat.
Pharyngeal tonsils (adenoids) at the back of the throat. Human papillomavirus (hpv) is a common sexually transmitted infection that increases the risk of certain types of throat cancer. Another symptom is a persistent sore throat. A sore, irritated throat or swollen, inflamed tonsils may be mistaken for tonsillitis, strep throat, or other common viral ailments. The number one symptom is asymmetrical tonsils, having one tonsil larger than the other.
Faqs On Tonsil Adenoid Problems Dr Lynne Lim Ent from drlynnelim.com At first, tonsil cancer may be difficult to identify. On the other hand, tonsil cancer gives out symptoms of blood in throat, lumps in neck etc (i have already mentioned some symptoms above). Tonsillitis, or swelling of the tonsils, is usually caused by a viral infection. Hpv has been linked to cancer that affects the soft palate, tonsils, back of the tongue, and the side and back wall of the throat. Human papillomavirus (hpv) is a common sexually transmitted infection that increases the risk of certain types of throat cancer. The difference is that common health issues like a cold will begin to resolve themselves in a matter of weeks. Tonsillitis is a contagious infection with symptoms of bad breath, snoring, congestion, headache, hoarseness, laryngitis, and coughing up blood. Throat cancer may spread locally to the lips, mouth or nearby lymph nodes.
It's freezing outside and germs spread more easily.
Tonsil cancer the symptoms of tonsil cancer are similar to tonsillitis or strep throat. Throat cancer may spread locally to the lips, mouth or nearby lymph nodes. It can even occur in people who have had their tonsils removed! Tonsil cancer is a form of oropharyngeal cancer that occurs when the cells that make up the tonsils grow out of control and form lesions or tumors. Compared to other cancers, throat cancer is considered to be relatively uncommon. The most significant risk factors for tonsil cancers are tobacco and alcohol use. Tonsil cancer is an abnormal growth of cells that forms in a tonsil. The reason for such a high prevalence rate is that people misinterpret the symptoms of throat cancer as those of tonsillitis. There are three types of tonsils: This time of year, coughs, colds and sore throats are common; For instance, voice changes may be a sign of laryngeal (voice box) cancer, but they would rarely indicate cancer of the pharynx. Men are diagnosed with tonsil cancer three to four times more often than women. Tonsillitis, or swelling of the tonsils, is usually caused by a viral infection.
How To Make A Pop Up Cat Card : How to make a Pop Up Box Card Tutorial | Stampin' Up! It ... / The playful cat pop up card is perfect for all occasions throughout the year to bring a bit of brightness regardless of the season! . Cake pop up card for birthday. Cuts don't need to be straight lines, but they must go from valley fold, across a mountain top, to the next valley fold. Diy cat 3d card / kirigami pattern. Since this playful cat pop up card is blank, you can customize it perfectly for any occasion when gifting this lovely card. Man and cat duncan birmingham $0.00. Copper star face mask katherine belsey $0.00. Name your price $ add to wish list. Glue the folded white section on one side of the rectangle. The playful cat pop up card is perfect for all occasions throughout the year to bring a bit of brightness regardless of the season! 16 diy father's day cards dad will love. ...
How To Know A Cancer Woman Is Into You / Gemini Man Secretly In Love 7 Obvious Signs To Tell Adriancamps / Cancer is going to look at you if she likes you, a lot, and there will be sweetness in her look, but she will never let you see more of what she wants to show as your approach becomes a reality, many details will open your eyes to know what cancer feels for you. . Cancer women are nurturing and warm but cautious and guarded by nature. This means that they are very good people to have around. You can expect that she will withdraw into herself before she is if you want to learn about how to get each zodiac sign to forgive you, then you are more than welcome to look. Our article can help you navigate cancer's turbulent waters. In that case, it is a sign she is trying to creep into your heart and woo you with her. A cancer woman is loyal and they make great leaders; We explain you everything you should (and not) do! Due to her personality traits, a cancer woman ...
Does Tattoo Make Cancer - Tattoo Artist Gave Free Tattoos To Survivors For Years ... / In tattoos and skin cancer, one thing should be borne in mind. . Tattoos have been linked to cancer, but not definitively. In short, the answer is no. The tattoo artist may also write a letter to the insurance company on your behalf. Researchers identified 51 publications and 63 cases of cancer linked to tattoos. As you finished your chemotherapy over 5 months ago, your blood levels may be back to normal. For decades now, dermatologists have been exploring any potential link between tattoos and cancer without finding any clear connection. Allergic reaction to an ink. The same is true for patients who have already had melanoma or another form of skin cancer — the inks used in tattoos have not been shown to increase their risk of recurrence. Paying close attention to freckles, moles and areas of the skin frequently exposed to sunlight is one of the ways dermatologists look out for me...
Komentar
Posting Komentar